Seorang bayi perempuan yang baru berusia tiga bulan telah disahkan ’hamil’ apabila di dalam perutnya mengandungi satu lagi janin.
Kejadian berlaku di Hospital Queen Elizabeth, Hong Kong, telah menyebabkan doktor dan petugas hospital terkejut dengan laporan tersebut.
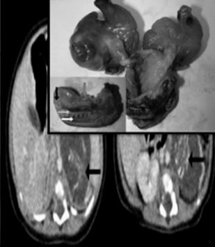
Janin yang berada di dalam perut bayi berusia tiga bulan itu dikatakan berusia 10 minggu kandungan.

Semasa awal kandungan, ibu kepada bayi itu telah disahkan hamil kembar dua.
Namun, setelah selamat melahirkan dua bayi tersebut, dia telah dimaklumkan bahawa terdapat seorang lagi bayi di dalam perut anaknya itu.
Menurut Jurnal Perubatan Hong Kong, kejadian tersebut dikatakan amat jarang berlaku dan ianya merupakan kes pertama di sepanjang 500,000 jumlah kelahiran di negara itu.
Pakar obstetrik dan ginekologi, Dr. Yu Kai Man berkata, amat sukar bagi mereka untuk mengesan kewujudan janin tersebut pada awal kandungan kerana saiznya yang terlampau kecil.
Pihak hospital kemudian masih belum menentukan rawatan selanjutnya yang akan dilakukan kerana perlu mengambil kira aspek keselamatan dan nyawa bayi tersebut.
Teks oleh : Izzat Ridzwan
Sumber : Sayaphitam.com
Kejadian berlaku di Hospital Queen Elizabeth, Hong Kong, telah menyebabkan doktor dan petugas hospital terkejut dengan laporan tersebut.
Janin yang berada di dalam perut bayi berusia tiga bulan itu dikatakan berusia 10 minggu kandungan.

Semasa awal kandungan, ibu kepada bayi itu telah disahkan hamil kembar dua.
Namun, setelah selamat melahirkan dua bayi tersebut, dia telah dimaklumkan bahawa terdapat seorang lagi bayi di dalam perut anaknya itu.
Menurut Jurnal Perubatan Hong Kong, kejadian tersebut dikatakan amat jarang berlaku dan ianya merupakan kes pertama di sepanjang 500,000 jumlah kelahiran di negara itu.
Pakar obstetrik dan ginekologi, Dr. Yu Kai Man berkata, amat sukar bagi mereka untuk mengesan kewujudan janin tersebut pada awal kandungan kerana saiznya yang terlampau kecil.
Pihak hospital kemudian masih belum menentukan rawatan selanjutnya yang akan dilakukan kerana perlu mengambil kira aspek keselamatan dan nyawa bayi tersebut.
Teks oleh : Izzat Ridzwan
Sumber : Sayaphitam.com